病例资料
常某,37岁女性,BMI 23.5。
主诉:经期逐渐加重的尿频、尿急、尿痛症状(无血尿),VAS评分9-10分。
月经史:平素规律,初潮年龄14岁,经期4-5天,周期24-30天,有痛经史。
既往史:有两次剖宫产史,一次腹壁子宫内膜异位病灶切除手术史。
入院检查:
1.超声下可见一2.6cm结节。
2.妇科检查:外阴已婚型,阴道畅,宫颈暴露不佳,固定于耻骨联合后方,双侧附件未及异常;于阴道前穹窿可触及一质硬结节,大小约3cm。
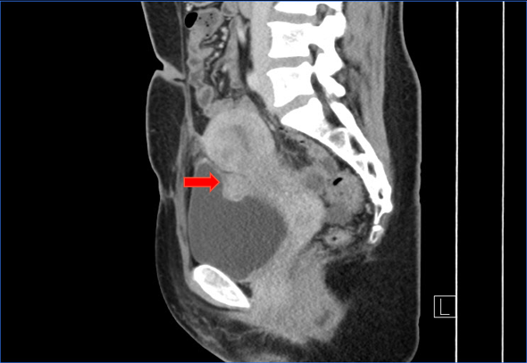
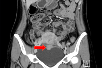
3.盆腔MRI提示:膀胱占位结节,子宫内膜异位结节可能。


4.膀胱镜下可见:粘膜光滑,膀胱后三角中央可见范围约1cm左右,粘膜充血,粗糙,表面呈紫蓝色,距离输尿管开口距离大于1cm。
5.肠镜检查未见异常。
诊断:
1.膀胱子宫内膜异位症
2.盆腔粘连
手术方案:
经我院外科MDT团队讨论后拟定手术方案“腹腔镜下膀胱子宫内膜异位病灶切除术+膀胱修补术(备输尿管膀胱植入术)”。
倪妍教授于ISGE2025大会分享中,借此视频提出“双重保护理念”,即病灶完整切除,确保子宫内膜异位病灶的彻底清除,以及膀胱功能保全,维护术后膀胱正常生理功能,获得在场专家高度认可。
病理诊断:
A(膀胱):尿路上皮黏膜的慢性炎症。肌层中含有许多类似子宫内膜的腺体,与膀胱子宫内分泌异位症相一致。
B(剖宫产疤痕):增生性平滑肌纤维组织,管腔狭窄,内含众多子宫内膜样腺体,与子宫内膜异位症的子宫疤痕一致。
C(腹膜):增生的纤维结缔组织和平滑肌,管腔狭窄,含有大量子宫内膜样腺体,与腹膜型子宫内膜异位症一致。
D(子宫体):显微镜检查发现大量嗜酸性、无定形物质,结构狭窄,部分表现为烧伤样外观。
总结:
❖充分术前评估;
❖详细和全面的解剖复位;
❖完整精确地去除病变;
❖防止宫颈管阻塞;
❖长期管理,GnRH-a,降低复发风险。
术者简介

运城第一医院妇产科主任、硕士研究生
✦山西医科大学汾阳学院副教授
✦山西省医学会第十届妇产科专委会委员
✦山西省医师协会第五届妇科肿瘤专委会委员
✦运城市医师协会妇产科专委会主任委员
✦运城市医学会妇科肿瘤专委会秘书
✦运城市医学会妇科内分泌专委会委员
✦美国腹腔镜协会(AAGL)会员
指导老师简介

倪 妍
山西盈康一生总医院妇产科主任,主任医师,硕士研究生导师
✦山西医科大学、长治医学院教授;
✦先后在复旦大学附属妇产科医院进修一年;
✦北京大学人民医院研修一年;
✦台湾中国医药大学附设医院、爱丁堡皇家医院访问学者;
✦牛津大学附属churchi||医院、美国休斯顿贝勒医学中心访问学者;
✦美国Mayo Clinic Arizona访问学者;
✦太原市医师协会妇科肿瘤专业委员会主任委员;
✦山西省医学会妇科肿瘤专业委员会常委;
✦山西省医师协会妇产科分会常委;
✦山西省医学会妇产科专业委员会委员;
✦山西省优生优育协会盆底学组副主任委员;
✦山西医院管理协会妇科肿瘤学组副主任委员;
✦山西省专家学者协会医学分会妇产科专业委员会副主任委员;
✦山西省妇幼保健协会微创专业委员会副主任委员;
✦山西省劳动模范;
✦山西省三晋骨干英才获得者;
主要从事妇科肿瘤、女性盆底障碍性疾病、生殖道畸形、子宫内膜异位症等疾病的诊治。
责编:清欢
审核:马野
